Medizinonline Medizinonline
  • Notizie
    • Notizie
    • Mercato e medicina
  • Pazienti
    • Modelli di malattia
    • Diagnostica
    • Terapia
  • Contenuto del partner
    • Dermatologia
    • Diabete
      • Club Dia-Month – Diabete di tipo 2
      • Diabete in movimento
      • Diabetes Podcasts
    • Gastroenterologia
      • L’IBD è importante
      • Ozanimod: colite ulcerosa
      • Aggiornamento sul reflusso
    • Immunologia
      • Immunodeficienza primaria – scambio di esperienze
    • Vaccinazione
      • Herpes zoster
    • Infektiologie
    • Neurologia
      • ESPERTO ULTRASONICO: Introduzione all’iniezione guidata da ultrasuoni
      • Notizie sulla SM
      • Terapia della SM in transizione
    • Oncologia
      • L’oncologia svizzera in movimento
    • Ortopedia
      • Osteoporosi in movimento
    • Phytotherapie
    • Gestione dello studio
      • Banca Cantonale di Argovia
      • Claraspital
    • Psichiatria
      • Psichiatria geriatrica
    • Reumatologia
  • Dipartimenti
    • Allergologia e immunologia clinica
    • Medicina interna generale
    • Anestesiologia
    • Angiologia
    • Chirurgia
    • Dermatologia e venereologia
    • Endocrinologia e diabetologia
    • Nutrizione
    • Gastroenterologia ed epatologia
    • Genetica
    • Geriatria
    • Ginecologia
    • Ematologia
    • Infettivologia
    • Cardiologia
    • Nefrologia
    • Neurologia
    • Medicina d’urgenza e terapia intensiva
    • Medicina nucleare
    • Oncologia
    • Oftalmologia
    • ORL
    • Ortopedia
    • Pediatria
    • Farmacologia e tossicologia
    • Medicina farmaceutica
    • Flebologia
    • Medicina fisica e riabilitazione
    • Pneumologia
    • Prevenzione e assistenza sanitaria
    • Psichiatria e psicoterapia
    • Radiologia
    • Medicina legale
    • Reumatologia
    • Medicina dello sport
    • Traumatologia e chirurgia dei traumi
    • Medicina tropicale e dei viaggi
    • Urologia
    • Odontoiatria
  • ECM e congressi
    • Formazione ECM
    • Rapporti del Congresso
    • Calendario del Congresso
  • Pratica
    • Noctimed
    • Gestione dello studio
    • Offerte di lavoro
    • Interviste
  • Effettuare il login
  • Registro
  • Il mio conto
  • Contatto
  • Italiano
    • Deutsch
    • English
    • Français
    • Português
    • Español
  • Pubblicazioni
  • Contatto
  • Deutsch
  • English
  • Français
  • Italiano
  • Português
  • Español
Iscriviti
Medizinonline Medizinonline
Medizinonline Medizinonline
  • Notizie
    • Notizie
    • Mercato e medicina
  • Patienten
    • Krankheitsbilder
    • Diagnostik
    • Therapie
  • Contenuto del partner
    • Dermatologia
    • Diabete
      • Club Dia-Month – Diabete di tipo 2
      • Diabete in movimento
      • Diabetes Podcasts
    • Gastroenterologia
      • L’IBD è importante
      • Ozanimod: colite ulcerosa
      • Aggiornamento sul reflusso
    • Immunologia
      • Immunodeficienza primaria – scambio di esperienze
    • Vaccinazione
      • Herpes zoster
    • Infektiologie
    • Neurologia
      • ESPERTO ULTRASONICO: Introduzione all’iniezione guidata da ultrasuoni
      • Notizie sulla SM
      • Terapia della SM in transizione
    • Oncologia
      • L’oncologia svizzera in movimento
    • Ortopedia
      • Osteoporosi in movimento
    • Phytotherapie
    • Gestione dello studio
      • Banca Cantonale di Argovia
      • Claraspital
    • Psichiatria
      • Psichiatria geriatrica
    • Reumatologia
  • Dipartimenti
    • Fachbereiche 1-13
      • Allergologia e immunologia clinica
      • Medicina interna generale
      • Anestesiologia
      • Angiologia
      • Chirurgia
      • Dermatologia e venereologia
      • Endocrinologia e diabetologia
      • Nutrizione
      • Gastroenterologia ed epatologia
      • Genetica
      • Geriatria
      • Ginecologia
      • Ematologia
    • Fachbereiche 14-26
      • Infettivologia
      • Cardiologia
      • Nefrologia
      • Neurologia
      • Medicina d’urgenza e terapia intensiva
      • Medicina nucleare
      • Oncologia
      • Oftalmologia
      • ORL
      • Ortopedia
      • Pediatria
      • Farmacologia e tossicologia
      • Medicina farmaceutica
    • Fachbereiche 26-38
      • Flebologia
      • Medicina fisica e riabilitazione
      • Fitoterapia
      • Pneumologia
      • Prevenzione e assistenza sanitaria
      • Psichiatria e psicoterapia
      • Radiologia
      • Medicina legale
      • Reumatologia
      • Medicina dello sport
      • Traumatologia e chirurgia dei traumi
      • Medicina tropicale e dei viaggi
      • Urologia
      • Odontoiatria
  • ECM e congressi
    • Formazione ECM
    • Rapporti del Congresso
    • Calendario del Congresso
  • Pratica
    • Noctimed
    • Gestione dello studio
    • Offerte di lavoro
    • Interviste
Login

Sie haben noch keinen Account? Registrieren

  • Dal sintomo alla diagnosi

Carcinoma polmonare – Tumore di Pancoast

    • Casi
    • Chirurgia
    • Formazione continua
    • Oncologia
    • Pneumologia
    • Radiologia
    • RX
  • 5 minute read

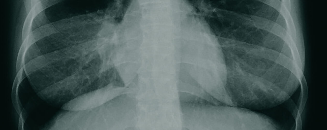
Il carcinoma polmonare è uno dei tumori maligni più comuni nei Paesi di lingua tedesca. L’età media di insorgenza è tra i 68-70 anni. Il principale fattore di rischio è il fumo. Henry Pancoast (1875-1939), un radiologo americano, diede il suo nome a un carcinoma bronchiale periferico particolarmente localizzato. Oggi, il successo del trattamento dipende, tra l’altro, dallo stato iniziale dei linfonodi e dal raggiungimento di una resezione R0.

Dieser Inhalt ist nur für Benutzer der Gruppe: Medizinische Fachperson zugänglich
Jetzt beitreten
Already a member? Accedi
Autoren
  • Dr. med. Hans-Joachim Thiel
Publikation
  • InFo ONKOLOGIE & HÄMATOLOGIE
Related Topics
  • Carcinoma bronchiale
  • Carcinomi polmonari
  • pancoast
  • Stato dei linfonodi
  • tecniche di imaging
  • Tumore di Pancoast
Articolo Precedente
  • Dal sintomo alla diagnosi

Dolore addominale – Neoplasia mucinosa papillare intraduttale

  • Casi
  • Chirurgia
  • Gastroenterologia ed epatologia
  • Medicina interna generale
  • Oncologia
  • Radiologia
  • RX
Visualizza Post
Articolo Successivo
  • Colite ulcerosa

Nuovi approcci al trattamento

  • Gastroenterologia ed epatologia
  • Rapporti del Congresso
  • RX
  • Studi
Visualizza Post
You May Also Like
Visualizza Post
  • 6 min
  • Esofagite eosinofila

L’EoE si verifica raramente in modo isolato

    • Formazione continua
    • Gastroenterologia ed epatologia
    • Medicina interna generale
    • ORL
    • Pneumologia
    • RX
    • Studi
Visualizza Post
  • 9 min
  • Cancro al polmone con mutazione EGFR

Nuove prospettive nella terapia di prima linea

    • Oncologia
    • Pneumologia
    • Rapporti del Congresso
    • RX
    • Studi
Visualizza Post
  • 3 min
  • Disturbo del sonno

Medicina del sonno in transizione: nuovi obiettivi e rivalutazione dei vecchi ipnotici

    • Farmacologia e tossicologia
    • Formazione continua
    • Neurologia
    • Psichiatria e psicoterapia
    • RX
Visualizza Post
  • 4 min
  • Estratto di ginkgo biloba nel modello murino di Alzheimer

Effetti sulle sottopopolazioni di microglia associate alla malattia

    • Fitoterapia
    • Formazione continua
    • Geriatria
    • Medicina farmaceutica
    • Medicina interna generale
    • Neurologia
    • RX
    • Studi
Visualizza Post
  • 3 min
  • "Pazienti W.A.I.T. Indicatore".

Accesso ai farmaci: come si colloca la Svizzera rispetto all’Europa?

    • Gestione dello studio
    • Medicina interna generale
    • Prevenzione e assistenza sanitaria
    • RX
    • Studi
Visualizza Post
  • 6 min
  • Osteoporosi

La terapia stratificata per il rischio con agenti osteoanabolizzanti migliora i risultati.

    • Farmacologia e tossicologia
    • Geriatria
    • Medicina interna generale
    • Rapporti del Congresso
    • Reumatologia
    • RX
Visualizza Post
  • 6 min
  • Aderenza nell'asma grave o scarsamente controllata

Il monitoraggio digitale può favorire una maggiore aderenza al trattamento.

    • Formazione continua
    • Pneumologia
    • RX
    • Studi
Visualizza Post
  • 3 min
  • Programma GLA:D® per i pazienti affetti da mal di schiena

Meno consultazioni e riduzione dell’uso di antidolorifici

    • Medicina interna generale
    • Rapporti del Congresso
    • Reumatologia
    • RX
    • Studi
Contenuto Top Partner
  • Herpes zoster

    Zum Thema
I migliori corsi di formazione ECM
  • 1
    Dr ChatGPT: Modelli linguistici di grandi dimensioni nella pratica clinica quotidiana
  • 2
    Trattamento delle comorbilità negli anziani
  • 3
    Cosa viene testato, quando e su chi?
  • 4
    L’incontinenza fecale da una prospettiva gastroenterologica
  • 5
    Dalla β-cellula al centro: il ruolo versatile dell’amilina

Newsletter

Iscriviti e rimani aggiornato

Abbonarsi
Medizinonline Medizinonline
  • Contatto
  • Termini e condizioni generali
  • Impronta

Inserisci la chiave di ricerca e premi invio.