La demenza vascolare (VaD) è la seconda causa di demenza più comune dopo la demenza di Alzheimer e quindi la forma di demenza non neurodegenerativa più comune. Non si tratta di una malattia singolare. Di particolare importanza clinica è la microangiopatia cerebrale spesso associata all’ipertensione, che può portare alla demenza vascolare ischemica sottocorticale (SIVD). Questa è probabilmente la forma meglio caratterizzata di VaD ed è caratterizzata meno da disturbi della memoria che da disturbi delle funzioni esecutive e della velocità di elaborazione. La diagnosi si basa in particolare su esami anamnestici, clinici e di imaging. In ogni caso, dovrebbe essere fatto in una fase iniziale.
Nel prossimo futuro, sullo sfondo dello sviluppo demografico nei Paesi industrializzati occidentali, si prevede una crescente prevalenza di malattie da demenza. A causa delle conseguenti implicazioni mediche e socio-economiche, la “Strategia nazionale sulla demenza 2014-2017” della Svizzera è stata recentemente adottata dall’Ufficio federale della sanità pubblica [1].
Oltre alla demenza di Alzheimer (AD), che è la causa più comune di demenza, le demenze vascolari (VaD) svolgono un ruolo importante come seconda forma più comune e causa più frequente di forme non neurodegenerative di demenza [2,3]. Gli uomini – a differenza dell’AD – sono colpiti circa due volte più spesso delle donne. Le possibili cause di VaD sono riassunte nella Tabella 1 come riferimento. L’AD e la VaD, così come la demenza mista, rappresentano fino all’80% delle demenze. Quest’ultimo include le sovrapposizioni tra AD e VaD, che si verificano non di rado. Anche i processi vascolari giocano un ruolo significativo nello sviluppo della demenza nel contesto dell’AD [4–7], tanto che oggi entrambe le forme sono considerate come un continuum.
Classificazione della demenza vascolare
La VaD non è una singola malattia, ma un termine ombrello per una varietà di malattie cerebrovascolari che possono portare a un deterioramento cognitivo e persino alla demenza (Tabella 1).

I cosiddetti criteri NINDS-AIREN [8], che si basano sulla presenza di demenza e malattia cerebrovascolare (Tab. 2 ), sono ancora oggi utilizzati come sistema valido per la diagnosi di VaD. Inoltre, vengono utilizzati criteri standardizzati per la classificazione e la diagnosi dei disturbi cognitivi vascolari [9].

Microangiopatia cerebrale
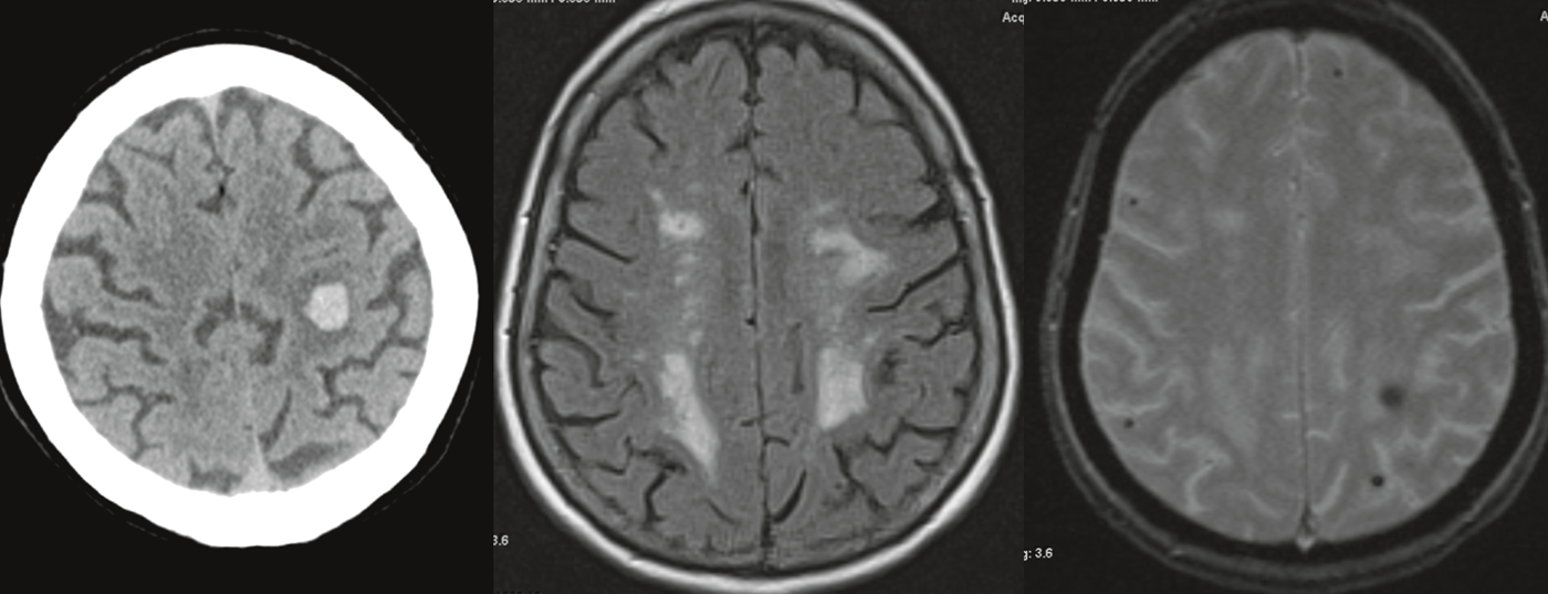
La causa più comune di VaD è la microangiopatia cerebrale, che è particolarmente associata all’ipertensione arteriosa. Oltre a questa forma sporadica, esistono anche forme ereditarie più rare di microangiopatia, in cui di solito c’è un’anamnesi familiare positiva di ictus cerebrale o di disturbi cognitivi – possibilmente senza fattori di rischio vascolare esistenti. Circa un terzo di tutti gli ictus ischemici sono causati da microangiopatia cerebrale. Queste portano a lesioni cerebrali ischemiche tipiche che possono essere visualizzate con la risonanza magnetica: Si verificano infarti lacunari sottocorticali. (Fig. 1a) nonché alterazioni vascolari leucoencefalopatiche nell’area del canale midollare. (Fig.1b). Inoltre, a volte si possono trovare microemorragie, che nella microangiopatia sono spesso localizzate nell’area delle strutture più profonde (ad esempio, i gangli della base).

Oltre ai segni e ai sintomi clinici fisici (deficit neurologici focali, disturbi della minzione, disturbi dell’andatura), i disturbi cognitivi sono clinicamente in primo piano nelle microangiopatie. Spesso si verificano in modo fluttuante e insidiosamente progressivo e non devono essere associati a un ictus clinicamente tangibile. A causa della patologia nell’area dei piccoli vasi arteriosi cerebrali che penetrano a livello sottocorticale, si verifica la cosiddetta demenza vascolare ischemica sottocorticale (SIVD) nel contesto dell’ischemia midollare. Questa è considerata la forma più comune di VaD ed è quindi di particolare importanza nella pratica clinica. Rispetto all’AD, è caratterizzata in misura minore da disturbi della memoria, ma soprattutto da disturbi delle funzioni esecutive e della velocità di elaborazione [10]. Nella sua forma pura, è quindi spesso clinicamente distinta dall’AD. In definitiva, la microangiopatia porta anche all’atrofia cerebrale, che è associata alla progressione dei deficit cognitivi [11]. In particolare, l’ipertensione arteriosa è un fattore di rischio per l’atrofia cerebrale dovuta alla microangiopatia. Questo sottolinea la rilevanza clinica della regolazione della pressione arteriosa e dei fattori di rischio vascolare in generale.
Diagnostica e diagnostica differenziale
La classificazione diagnostica della microangiopatia cerebrale e della VaD associata si basa su parametri anamnestici, clinici e di imaging. La tabella 3 ne offre una panoramica.

Una valutazione iniziale dei disturbi cognitivi è spesso possibile già durante l’intervista anamnestica. L’anamnesi esterna dei parenti è di grande importanza in questo caso, tra l’altro per quanto riguarda le possibili limitazioni nella vita quotidiana. In particolare, è necessario indagare sui disturbi cognitivi che indicano disturbi dell’attenzione, della concentrazione e delle funzioni esecutive. Le procedure di test cognitivi brevi sono disponibili come diagnostica di base per la valutazione iniziale dell’orientamento e la quantificazione dei disturbi cognitivi. Questi possono essere utilizzati bene nella routine clinica e possono anche servire come parametri di follow-up, se necessario. Qui, ad esempio, vanno citati il Mini-Mental-Test, il DemTect, il TFDD (test per l’individuazione precoce della demenza con delimitazione della depressione) o la versione in lingua tedesca del MoCA (“Montreal Cognitive Assessment”), anche se queste procedure di test non sono specificamente rivolte alla VaD. In alternativa, per i disturbi cognitivi vascolari, sono stati proposti due test più brevi (5 e 30 minuti) per l’uso clinico di routine [9], che sono in grado di catturare meglio i deficit caratteristici della microangiopatia sopra menzionati. Anche il cosiddetto test di trail making è utile a questo scopo.
L’esame neurologico clinico spesso mostra riflessi primitivi disinibiti (riflesso palmomentale, riflesso di presa, ecc.) e riflessi posturali alterati. Oltre ai deficit neurologici focali legati all’ischemia, nelle fasi avanzate della malattia possono manifestarsi anche disturbi motori extrapiramidali.
La diagnosi per immagini mediante risonanza magnetica (tab. 3) mira da un lato a rilevare lesioni vascolari fresche (DWI) o più vecchie (T2/FLAIR) (fig. 1).
In particolare, occorre menzionare le tipiche lesioni ischemiche midollari che possono essere rilevate nella valutazione T2/FLAIR, che possono presentarsi nelle forme più varie fino a una leucoencefalopatia confluente. Questi cambiamenti sono comuni con l’età. Inoltre, c’è la questione dei difetti della sostanza lacunare (T1) e delle emorragie o microemorragie (T2*/SWI).
Inoltre, l’imaging viene utilizzato per escludere altre patologie cerebrali che potrebbero portare a una sindrome di demenza (ad esempio, NPH, lesioni infiammatorie, tumori, atrofia regionale o globale nel corso di una malattia neurodegenerativa).
Un’importante diagnosi differenziale della microangiopatia cerebrale – soprattutto negli anziani – è l’angiopatia amiloide cerebrale (CAA) (Fig. 2), che può anche portare alla VaD. Una delimitazione diagnostica differenziale è particolarmente importante perché la CAA è associata in particolare a emorragie cerebrali e quindi ha conseguenze terapeutiche dirette, ad esempio per quanto riguarda l’uso di inibitori dell’aggregazione piastrinica in un paziente con una leucoencefalopatia vascolare.

A volte la diagnosi differenziale delle lesioni ischemiche microangiopatiche midollari da altre cause non vascolari di leucoencefalopatia può essere impegnativa.
Importanti diagnosi differenziali sono elencate nella tabella 4. Le malattie infiammatorie e metaboliche sono particolarmente degne di nota. Se necessario, per la diagnosi differenziale di una genesi microangiopatica-vascolare di una leucoencefalopatia si devono prendere in considerazione ulteriori esami, in particolare il liquido cerebrospinale (CSF), la chimica di laboratorio e i test sierologici.

Terapia
Malattie vascolari sottostanti: Il trattamento nella VaD è particolarmente mirato al controllo precoce delle malattie vascolari e dei fattori di rischio esistenti, e nella microangiopatia soprattutto al controllo della pressione sanguigna. Ciò che è importante in questo caso è il controllo della pressione sanguigna di per sé, piuttosto che l’uso di gruppi di sostanze specifiche, per cui gli antipertensivi che agiscono sul sistema renina-angiotensina possono avere un ruolo speciale da svolgere in questo contesto. Poiché il verificarsi di un ictus clinicamente manifesto è di per sé un fattore di rischio per la VaD, è importante il controllo dei fattori di rischio nel senso della profilassi primaria delle malattie cerebrovascolari. Lo stesso vale di conseguenza per la prevenzione secondaria dell’ictus, poiché l’ictus ricorrente causa un ulteriore aumento significativo del rischio di VaD [12]. La profilassi secondaria con farmaci secondo le attuali raccomandazioni delle linee guida svolge quindi un ruolo importante anche in relazione ai disturbi cognitivi vascolari.
Per quanto riguarda l’uso profilattico primario, ad esempio, degli inibitori dell’aggregazione piastrinica per la terapia/profilassi della demenza, non ci sono dati chiari attualmente disponibili, per cui al momento non è raccomandato. Questo vale anche per l’uso delle statine. Si dovrebbe fornire una consulenza sui fattori modificabili dello stile di vita, in particolare il consumo di alcol e nicotina e l’attività fisica. La terapia dei fattori e delle malattie vascolari svolge quindi un ruolo importante nel complesso della prevenzione e del trattamento della demenza, non da ultimo perché gli approcci terapeutici all’AD come malattia neurodegenerativa sono ad oggi limitati.
Terapia sintomatica: se vi è evidenza di demenza mista, attualmente si raccomanda una terapia sintomatica come nell’AD, a condizione che non vi siano controindicazioni vascolari, ad esempio all’uso di inibitori della colinesterasi. In caso di sintomi neuropsichiatrici concomitanti, l’uso di neurolettici atipici in particolare deve essere rivisto criticamente, alla luce di un potenziale aumento del rischio di complicanze cerebrovascolari. Anche i neurolettici convenzionali dovrebbero essere evitati a causa dei potenziali effetti collaterali motori anticolinergici ed extrapiramidali. I sintomi di depressione non dovrebbero essere trattati con antidepressivi anticolinergici (come i triciclici); gli inibitori selettivi della ricaptazione della serotonina (SSRI) sono un’opzione in questo caso.
Sommario
Il termine VaD non descrive una singola malattia, ma piuttosto una sindrome di demenza generale basata su malattie cerebrovascolari. La microangiopatia cerebrale è la causa più comune di VaD. È spesso associata all’ipertensione arteriosa e porta in particolare a un deterioramento cognitivo sottocorticale. Pertanto, il profilo dei disturbi cognitivi differisce da quello dell’AD, ma non sono rare le sovrapposizioni e gli ibridi.
L’imaging cerebrale svolge un ruolo diagnostico cruciale accanto alla valutazione neurologica clinica. La diagnosi precoce delle cause vascolari del deterioramento cognitivo dovrebbe portare all’avvio di misure terapeutiche o preventive. La microangiopatia cerebrale può avere un impatto negativo significativo sul decorso della malattia di Alzheimer esistente. Questo sottolinea l’importanza di una diagnosi e di una terapia precoci.
L’ictus ischemico è un fattore di rischio importante per l’insorgenza di disturbi cognitivi vascolari. Il controllo ottimizzato dei fattori di rischio primari e la profilassi secondaria sono quindi di grande importanza terapeutica anche per quanto riguarda la VaD.
PD Nils Peters, MD
Letteratura:
- Strategia nazionale sulla demenza 2014-2017, Ufficio federale della sanità pubblica (UFSP) e Conferenza svizzera dei direttori cantonali della sanità (GDK). Berna, novembre 2013.
- Roman GC, Kalaria RN: Neurobiol Aging 2006; 27: 1769-1785.
- Stevens T, et al: Br J Psychiatry 2002; 180: 270-276.
- Heyman A, et al: Neurology 1998; 51: 159-162.
- O’Brien JT, et al: Disturbo cognitivo vascolare. Lancet Neurol 2003; 2: 89-98.
- Roman GC: Neuroepidemiologia 2003; 22: 161-164.
- Snowdon DA, et al: JAMA 1997; 277: 813-817.
- Roman GC, et al: Neurology 1993; 43: 250-260.
- Hachinski V, et al: Stroke 2006; 37: 2220-2241.
- Peters N, et al: Am J Psychiatry 2005; 162: 2078-2085.
- Peters N, et al: Neurology 2006; 66: 1517-1522.
- Pendlebury ST, Rothwell PM: Lancet Neurol 2009; 8: 1006-1018.
InFo NEUROLOGIA & PSICHIATRIA 2014; 12(3): 18-21