Les démangeaisons génitales sont fréquentes et très handicapantes. La cause est souvent une infection fongique, mais pas toujours, loin s’en faut. Parfois, le prurit est dû à des dermatoses non infectieuses, à des réactions allergiques, à des effets secondaires de médicaments ou à des maladies systémiques. Le Dr Stephanie von Orelli, Zurich, a abordé plus en détail les différentes formes lors du congrès du CMPR.
La colite/vulvite est l’un des motifs les plus fréquents de consultation gynécologique (20-25%). Les femmes concernées font état de divers symptômes principaux, tels qu’une augmentation de la fluoration (attention : toute fluoration n’est pas pathologique), une odeur désagréable, des démangeaisons et des brûlures, des troubles de la miction ou une dyspareunie. “La plupart du temps, la cause est une perturbation de l’écosystème dans la région génitale”, a souligné le Dr Stephanie von Orelli, Zurich. “Les lavages vaginaux, qui semblent être revenus à la mode, les irritations mécaniques, les douches fréquentes et l’utilisation de savons alcalins, mais aussi les protège-slips et les menstruations, peuvent perturber durablement l’équilibre acido-basique vaginal et favoriser ainsi la prolifération de germes pathogènes”. Les maladies suivantes s’accompagnent des symptômes principaux de démangeaisons et/ou de fluor :
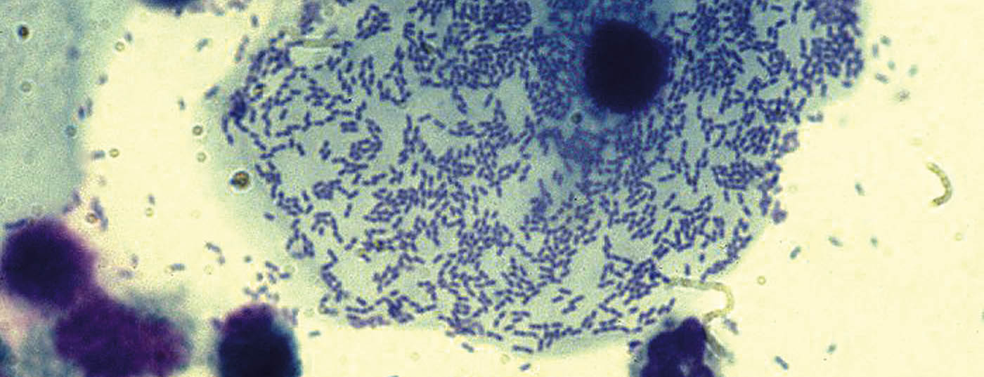
Vaginose bactérienne : La caractéristique typique de la vaginose bactérienne (aminocolite, colite à Gardnerella) est la fluorine fine, homogène et laiteuse qui, lorsqu’on y ajoute de l’hydroxyde de potassium (KOH), développe une odeur typique de poisson. Après coloration avec une solution de bleu de méthylène à 1 %, on trouve sur le frottis des cellules dites “clue”, des cellules épithéliales vaginales recouvertes d’une trame bactérienne (figure 1) , ainsi que de nombreux leucocytes.

“En principe, il n’est pas nécessaire de traiter toutes les colites à Gardnerella. Si la femme n’est pas perturbée, il n’est pas nécessaire de la traiter”, a expliqué le Dr von Orelli.
Les indications de traitement sont les symptômes gênants, une intervention gynécologique programmée (curetage, hystérectomie) et la grossesse, afin d’éviter un travail prématuré ou une rupture prématurée des membranes. On sait également aujourd’hui que la vaginose bactérienne augmente le risque de maladies sexuellement transmissibles (MST) et de VIH, d’où l’intérêt de traiter les patientes à haut risque. Le médicament de premier choix en dehors de la grossesse est le métronidazole 2× 500 mg/jour p.o. pendant sept jours ou 2 g le premier et le troisième jour (moins efficace). “N’oubliez pas de dire aux patientes que le métronidazole a un effet antabuse”, a souligné le Dr von Orelli. Pendant la grossesse et chez les femmes qui ne tolèrent pas le métronidazole, on administre de la clindamycine 2× 300 mg/jour p.o. pendant sept jours, éventuellement de la clindamycine 2% crème locale 2 × jour. Une thérapie en binôme n’est pas nécessaire.
Colite du soor : Candida albicans est un germe pathogène facultatif que l’on retrouve dans 10 à 30% des prélèvements vaginaux et dans 20 à 30% des échantillons de selles. Les infections peuvent être aiguës et relativement souvent chroniques-récidivantes. Les traitements antibiotiques prédisposent à une colite soorale, mais les femmes qui prennent la pilule ont également un risque légèrement plus élevé. Dans ce cas, une pilule contenant une dose plus faible d’œstrogènes peut être utilisée. “Mais attention, une pilule contenant très peu d’œstrogènes peut entraîner une atrophie qui provoquera également des démangeaisons. Il n’est donc pas toujours facile de trouver le bon équilibre”, a averti le Dr von Orelli.
Le symptôme principal est le prurit ; la fluorine est sèche et grumeleuse. Occasionnellement, des rhagades peuvent également se former. L’infection par le soor se produit typiquement chez les femmes jeunes et ne se produit plus après la ménopause. Le traitement est généralement local avec des préparations à base d’imidazole (ovules, pommades), un traitement en binôme n’est pas nécessaire. En cas d’infections chroniques récurrentes, il peut être intéressant de faire une culture, car certaines souches de Candida sont résistantes à l’imidazole. Mais en cas de mycose chronique récurrente, il est encore plus important d’apporter des modifications au mode de vie, comme éviter les sprays intimes, les protège-slips et le papier toilette recyclé (qui contient de nombreuses substances pouvant entraîner une sensibilisation), éventuellement utiliser Gynoflor® en prophylaxie après les rapports sexuels et après la piscine, et suivre un régime pauvre en sucre chez les femmes diabétiques. A titre d’essai, un traitement par Diflucan® (3× 150 mg p.o. à 72 heures d’intervalle, puis 1×/semaine pendant 6 mois) peut être fait.
Le diagnostic différentiel entre les démangeaisons chroniques et récurrentes et le soor peut inclure plusieurs autres causes, résumées dans le tableau 1 .

Lichen scléreux : Le lichen scléreux peut apparaître chez les jeunes filles et se manifeste par des démangeaisons et une lichénification des organes génitaux externes avec une peau amincie aux reflets blancs (figure 2). Dans les stades ultérieurs, des adhérences peuvent entraîner une déviation du jet d’urine. Le diagnostic est histologique. Le lichen scléreux prédispose au carcinome de la vulve, raison pour laquelle les femmes concernées doivent être contrôlées tous les six mois. Le traitement consiste en des injections locales répétées de stéroïdes d’une durée de 2 à 3 semaines.
Lichen plan : le lichen plan est plus rare que le lichen scléreux et peut se manifester de manière enorale et génitale. Le symptôme principal est ici aussi les démangeaisons. Les plaques livide et aplaties forment des structures réticulaires blanchâtres typiques, surtout entre les petites et les grandes lèvres. Le diagnostic doit être confirmé par histologie et le traitement est basé sur les stéroïdes. Sans traitement, un lichen plan érosif (lichen ruber) se développe par la suite.

Psoriasis : le psoriasis se manifeste rarement sur les parties génitales, où il se traduit par des rougeurs bien délimitées et des démangeaisons (figure 3). Les plaques érythrosquameuses typiques ne sont pas présentes sur les organes génitaux. Le diagnostic est histologique. Le traitement consiste à appliquer des stéroïdes et des pommades grasses.
Eczéma : l’eczéma est humide (vésicules) au stade aigu et sec (épaississement de la peau, desquamation) au stade chronique. Il s’agit souvent d’une allergie de contact, c’est pourquoi il faut rechercher les allergènes déclencheurs. Le traitement consiste en l’application locale de stéroïdes et en l’évitement des allergènes déclencheurs.
Source : “Démangeaisons génitales humides ou sèches : ce n’est pas toujours un champignon !” Atelier lors de la 15ème journée de formation continue du Collège de Médecine de Premier Recours (CMPR), 20-21 juin 2013, Lucerne
PRATIQUE DU MÉDECIN DE FAMILLE 2013 ; 8(9) : 43-44