Medizinonline Medizinonline
  • Notícias
    • Notícias
    • Mercado & Medicina
  • Pacientes
    • Padrões de doenças
    • Diagnósticos
    • Terapia
  • Conteúdo do parceiro
    • Dermatologia
      • Notícias de Dermatologia
    • Diabetes
      • Dia-Month Club – Diabetes Tipo 2
      • Diabetes em Movimento
      • Diabetes Podcasts
    • Gastroenterologia
      • Assuntos do IBD
      • Ozanimod: colite ulcerosa
      • Actualização de Refluxo
    • Imunologia
      • Imunodeficiência primária – troca de experiências
    • Vacinação
      • Herpes zoster
    • Infektiologie
    • Neurologia
      • EXPERT ULTRASONIC: Introdução à injecção guiada por ultra-sons
      • Notícias MS
      • Terapia de EM em Transição
    • Oncologia
      • A Oncologia Suíça em movimento
    • Ortopedia
      • Osteoporose em movimento
    • Phytotherapie
    • Prática de gestão
      • Aargau Cantonal Bank
      • Claraspital
    • Psiquiatria
      • Psiquiatria geriátrica
    • Reumatologia
  • Departamentos
    • Alergologia e imunologia clínica
    • Medicina Interna Geral
    • Anestesiologia
    • Angiologia
    • Cirurgia
    • Dermatologia e venereologia
    • Endocrinologia e diabetologia
    • Nutrição
    • Gastroenterologia e hepatologia
    • Genética
    • Geriatria
    • Ginecologia
    • Hematologia
    • Infecciologia
    • Cardiologia
    • Nefrologia
    • Neurologia
    • Medicina de emergência e cuidados intensivos
    • Medicina Nuclear
    • Oncologia
    • Oftalmologia
    • ORL
    • Ortopedia
    • Pediatria
    • Farmacologia e toxicologia
    • Medicina farmacêutica
    • Flebologia
    • Medicina física e reabilitação
    • Pneumologia
    • Prevenção e cuidados de saúde
    • Psiquiatria e psicoterapia
    • Radiologia
    • Medicina Legal
    • Reumatologia
    • Medicina Desportiva
    • Traumatologia e cirurgia de trauma
    • Medicina tropical e de viagem
    • Urologia
    • Odontologia
  • CME & Congressos
    • Formação CME
    • Relatórios do Congresso
    • Calendário do Congresso
  • Prática
    • Noctimed
    • Prática de gestão
    • Empregos
    • Entrevistas
  • Iniciar Sessão
  • Registe-se
  • A minha conta
  • Contacto
  • Português
    • Deutsch
    • English
    • Français
    • Italiano
    • Español
  • Publicações
  • Contacto
  • Deutsch
  • English
  • Français
  • Italiano
  • Português
  • Español
Subscribe
Medizinonline Medizinonline
Medizinonline Medizinonline
  • Notícias
    • Notícias
    • Mercado & Medicina
  • Patienten
    • Krankheitsbilder
    • Diagnostik
    • Therapie
  • Conteúdo do parceiro
    • Dermatologia
      • Notícias de Dermatologia
    • Diabetes
      • Dia-Month Club – Diabetes Tipo 2
      • Diabetes em Movimento
      • Diabetes Podcasts
    • Gastroenterologia
      • Assuntos do IBD
      • Ozanimod: colite ulcerosa
      • Actualização de Refluxo
    • Imunologia
      • Imunodeficiência primária – troca de experiências
    • Vacinação
      • Herpes zoster
    • Infektiologie
    • Neurologia
      • EXPERT ULTRASONIC: Introdução à injecção guiada por ultra-sons
      • Notícias MS
      • Terapia de EM em Transição
    • Oncologia
      • A Oncologia Suíça em movimento
    • Ortopedia
      • Osteoporose em movimento
    • Phytotherapie
    • Prática de gestão
      • Aargau Cantonal Bank
      • Claraspital
    • Psiquiatria
      • Psiquiatria geriátrica
    • Reumatologia
  • Departamentos
    • Fachbereiche 1-13
      • Alergologia e imunologia clínica
      • Medicina Interna Geral
      • Anestesiologia
      • Angiologia
      • Cirurgia
      • Dermatologia e venereologia
      • Endocrinologia e diabetologia
      • Nutrição
      • Gastroenterologia e hepatologia
      • Genética
      • Geriatria
      • Ginecologia
      • Hematologia
    • Fachbereiche 14-26
      • Infecciologia
      • Cardiologia
      • Nefrologia
      • Neurologia
      • Medicina de emergência e cuidados intensivos
      • Medicina Nuclear
      • Oncologia
      • Oftalmologia
      • ORL
      • Ortopedia
      • Pediatria
      • Farmacologia e toxicologia
      • Medicina farmacêutica
    • Fachbereiche 26-38
      • Flebologia
      • Medicina física e reabilitação
      • Fitoterapia
      • Pneumologia
      • Prevenção e cuidados de saúde
      • Psiquiatria e psicoterapia
      • Radiologia
      • Medicina Legal
      • Reumatologia
      • Medicina Desportiva
      • Traumatologia e cirurgia de trauma
      • Medicina tropical e de viagem
      • Urologia
      • Odontologia
  • CME & Congressos
    • Formação CME
    • Relatórios do Congresso
    • Calendário do Congresso
  • Prática
    • Noctimed
    • Prática de gestão
    • Empregos
    • Entrevistas
Login

Sie haben noch keinen Account? Registrieren

  • Urticária e exantema tipo urticária

Estudos de casos de dermatologia pediátrica

    • RX
    • Alergologia e imunologia clínica
    • Casos
    • Dermatologia e venereologia
    • Pediatria
    • Relatórios do Congresso
  • 6 minute read

A prevalência de urticária ao longo da vida é de quase 20%. Os anti-histamínicos de segunda geração são também recomendados como tratamento de primeira escolha para os doentes pediátricos. No entanto, os doentes pediátricos com pápulas pruriginosas nem sempre sofrem de uma forma (clássica) de urticária, como mostram claramente os relatórios do hospital pediátrico e a literatura especializada.

Dieser Inhalt ist nur für Benutzer der Gruppe: Medizinische Fachperson zugänglich
Jetzt beitreten
Already a member? Iniciar sessão
Autoren
  • Mirjam Peter, M.Sc.
Publikation
  • DERMATOLOGIE PRAXIS
Related Topics
  • Anti-histamínicos
  • Bilastina
  • Cetirizine
  • Desloratadina
  • Dia da pele das crianças em Zurique
  • Fexofenadina
  • Levocetirizina
  • Loratadine
  • Urticária
  • Urticária ao frio
Previous Article
  • Vitiligo na infância e na adolescência

Mas não enterre a cabeça na areia!

  • RX
  • Dermatologia e venereologia
  • Estudos
  • Pediatria
  • Relatórios do Congresso
View Post
Next Article
  • Cancro da mama avançado

Terapia SERD de nova geração com resultados promissores

  • RX
  • Estudos
  • Ginecologia
  • Oncologia
  • Relatórios do Congresso
View Post
You May Also Like
View Post
  • 12 min
  • Tomada de decisão partilhada

Tomada de decisão participativa utilizando o exemplo das dietas para a diabetes tipo 1

    • Endocrinologia e diabetologia
    • Estudos
    • Formação CME
    • Medicina Interna Geral
    • Nutrição
    • RX
View Post
  • 13 min
  • Rondas centradas no paciente em medicina

Alinhamento dos cuidados com o paciente

    • Estudos
    • Formação CME
    • Formação contínua
    • Medicina Interna Geral
    • Prevenção e cuidados de saúde
    • RX
View Post
  • 6 min
  • Enxaqueca e regulação vascular

Terapêuticas para a enxaqueca direcionadas para o CGRP em doentes com risco vascular

    • Estudos
    • Formação contínua
    • Neurologia
    • RX
View Post
  • 7 min
  • Esclerose múltipla pediátrica

A alta eficácia precoce como chave para melhorar o prognóstico

    • Estudos
    • Farmacologia e toxicologia
    • Formação contínua
    • Genética
    • Neurologia
    • Pediatria
    • RX
View Post
  • 7 min
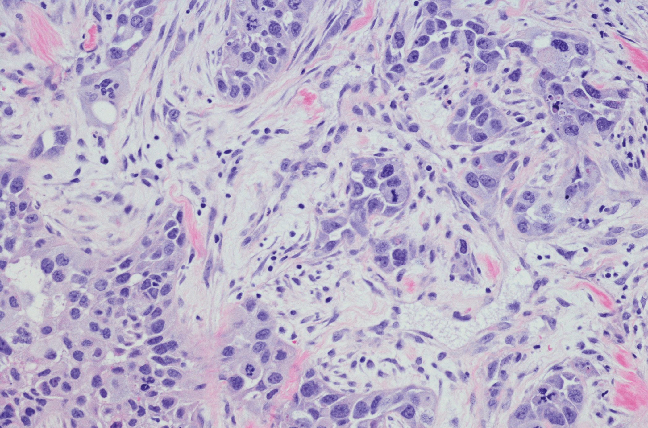
  • Relato de caso, base molecular e implicações terapêuticas

Carcinoma colorrectal HER2-positivo com componente micropapilar invasivo

    • Casos
    • Estudos
    • Formação contínua
    • Gastroenterologia e hepatologia
    • Oncologia
    • RX
View Post
  • 8 min
  • Cuidados com feridas

Ferida cronicamente infetada na parte inferior da perna – relato de um caso

    • Casos
    • Cirurgia
    • Dermatologia e venereologia
    • Endocrinologia e diabetologia
    • Geriatria
    • Ortopedia
    • Prevenção e cuidados de saúde
    • Relatórios do Congresso
    • RX
View Post
  • 5 min
  • Do sintoma ao diagnóstico

Dispneia – linfomas torácicos

    • Casos
    • Formação contínua
    • Medicina Interna Geral
    • Oncologia
    • Pneumologia
    • Radiologia
    • RX
View Post
  • 6 min
  • Hemofilia A e B

Abordagem personalizada e opções de tratamento inovadoras

    • Estudos
    • Formação contínua
    • Hematologia
    • Medicina Interna Geral
    • RX
Conteúdo de parceiros de topo
  • Herpes zoster

    Zum Thema
Cursos de formação CME de topo
  • 1
    Alinhamento dos cuidados com o paciente
  • 2
    Tomada de decisão participativa utilizando o exemplo das dietas para a diabetes tipo 1
  • 3
    Rastreio do cancro colorrectal – uma atualização
  • 4
    Unha amarela e síndrome de Swyer-James
  • 5
    Gestão da terapia individual para um resultado optimizado – uma atualização

Boletim informativo

Subscrever e manter-se actualizado

Subscrever
Medizinonline
  • Contacto
  • Termos e condições gerais
  • Impressão

Input your search keywords and press Enter.