Medizinonline Medizinonline
  • Notícias
    • Notícias
    • Mercado & Medicina
  • Pacientes
    • Padrões de doenças
    • Diagnósticos
    • Terapia
  • Conteúdo do parceiro
    • Diabetes
      • Dia-Month Club – Diabetes Tipo 2
      • Diabetes em Movimento
      • Diabetes Podcasts
    • Gastroenterologia
      • Assuntos do IBD
    • Oncologia
      • A Oncologia Suíça em movimento
    • Ortopedia
      • Osteoporose em movimento
  • Departamentos
    • Alergologia e imunologia clínica
    • Medicina Interna Geral
    • Anestesiologia
    • Angiologia
    • Cirurgia
    • Dermatologia e venereologia
    • Endocrinologia e diabetologia
    • Nutrição
    • Gastroenterologia e hepatologia
    • Genética
    • Geriatria
    • Ginecologia
    • Hematologia
    • Infecciologia
    • Cardiologia
    • Nefrologia
    • Neurologia
    • Medicina de emergência e cuidados intensivos
    • Medicina Nuclear
    • Oncologia
    • Oftalmologia
    • ORL
    • Ortopedia
    • Pediatria
    • Farmacologia e toxicologia
    • Medicina farmacêutica
    • Flebologia
    • Medicina física e reabilitação
    • Pneumologia
    • Prevenção e cuidados de saúde
    • Psiquiatria e psicoterapia
    • Radiologia
    • Medicina Legal
    • Reumatologia
    • Medicina Desportiva
    • Traumatologia e cirurgia de trauma
    • Medicina tropical e de viagem
    • Urologia
    • Odontologia
  • CME & Congressos
    • Formação CME
    • Relatórios do Congresso
    • Calendário do Congresso
  • Prática
    • Noctimed
    • Prática de gestão
    • Empregos
    • Entrevistas
  • Iniciar Sessão
  • Registe-se
  • A minha conta
  • Contacto
  • Publicações
  • Contacto
  • Deutsch
  • English
  • Français
  • Italiano
  • Português
  • Español
Subscribe
Medizinonline Medizinonline
Medizinonline Medizinonline
  • Notícias
    • Notícias
    • Mercado & Medicina
  • Patienten
    • Krankheitsbilder
    • Diagnostik
    • Therapie
  • Conteúdo do parceiro
    • Diabetes
      • Dia-Month Club – Diabetes Tipo 2
      • Diabetes em Movimento
      • Diabetes Podcasts
    • Gastroenterologia
      • Assuntos do IBD
    • Oncologia
      • A Oncologia Suíça em movimento
    • Ortopedia
      • Osteoporose em movimento
    • Phytotherapie
    • Reumatologia
  • Departamentos
    • Fachbereiche 1-13
      • Alergologia e imunologia clínica
      • Medicina Interna Geral
      • Anestesiologia
      • Angiologia
      • Cirurgia
      • Dermatologia e venereologia
      • Endocrinologia e diabetologia
      • Nutrição
      • Gastroenterologia e hepatologia
      • Genética
      • Geriatria
      • Ginecologia
      • Hematologia
    • Fachbereiche 14-26
      • Infecciologia
      • Cardiologia
      • Nefrologia
      • Neurologia
      • Medicina de emergência e cuidados intensivos
      • Medicina Nuclear
      • Oncologia
      • Oftalmologia
      • ORL
      • Ortopedia
      • Pediatria
      • Farmacologia e toxicologia
      • Medicina farmacêutica
    • Fachbereiche 26-38
      • Flebologia
      • Medicina física e reabilitação
      • Fitoterapia
      • Pneumologia
      • Prevenção e cuidados de saúde
      • Psiquiatria e psicoterapia
      • Radiologia
      • Medicina Legal
      • Reumatologia
      • Medicina Desportiva
      • Traumatologia e cirurgia de trauma
      • Medicina tropical e de viagem
      • Urologia
      • Odontologia
  • CME & Congressos
    • Formação CME
    • Relatórios do Congresso
    • Calendário do Congresso
  • Prática
    • Noctimed
    • Prática de gestão
    • Empregos
    • Entrevistas
Login

Sie haben noch keinen Account? Registrieren

Posts by tag

Talassemia

2 posts
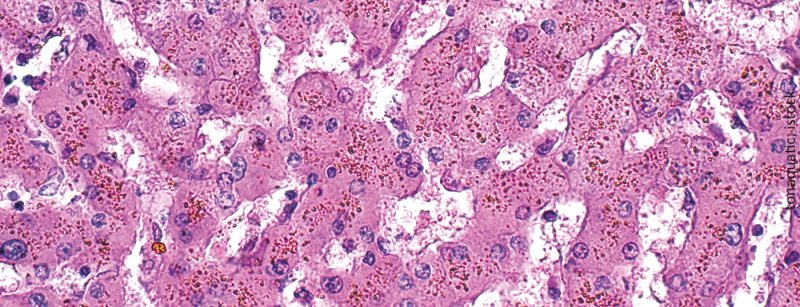
  • This content is machine translated Sobrecarga de ferro

Fisiopatologia e clínica

A sobrecarga de ferro é uma consequência inevitável e potencialmente fatal de múltiplas transfusões de concentrados de eritrócitos. Como as manifestações clínicas são inespecíficas e geralmente se desenvolvem lentamente, esta…
CME-Test
View Post
  • 5 min
  • This content is machine translated Academia de Ferro, Zurique

Transfusões e sobrecarga de ferro

O ferro livre é tóxico e a sobrecarga de ferro pode levar à danificação de órgãos fatais: Uma visão geral dos efeitos e perigos da sobrecarga de ferro na transfusão…
  • Assuntos do IBD

    Zum Thema
Cursos de formação CME de topo
  • 1
    Minimamente invasiva – o triunfo silencioso da cirurgia cardíaca moderna
  • 2
    Preservação funcional dos membros entre o controlo das infecções, a medicina vascular e o resurfacing
  • 3
    Prevenção do HPV, inovação no rastreio e biopsia do gânglio linfático sentinela
  • 4
    Cuidados clínicos desde o nascimento até à idade adulta
  • 5
    Equipas multidisciplinares em oncologia

Boletim informativo

Subscrever e manter-se actualizado

Subscrever
Medizinonline Medizinonline
  • Contacto
  • Termos e condições gerais
  • Impressão

Input your search keywords and press Enter.