Medizinonline Medizinonline
  • Noticias
    • Noticias
    • Mercado y medicina
  • Pacientes
    • Patrones de enfermedad
    • Diagnóstico
    • Terapia
  • Contenido para socios
    • Diabetes
      • Club Dia-Mes – Diabetes tipo 2
      • Diabetes en movimiento
      • Diabetes Podcasts
    • Gastroenterología
      • La EII importa
    • Oncología
      • Oncología suiza en movimiento
    • Ortopedia
      • Osteoporosis en movimiento
  • Departamentos
    • Alergología e inmunología clínica
    • Medicina Interna General
    • Anestesiología
    • Angiología
    • Cirugía
    • Dermatología y venereología
    • Endocrinología y diabetología
    • Nutrición
    • Gastroenterología y hepatología
    • Genética
    • Geriatría
    • Ginecología
    • Hematología
    • Infectología
    • Cardiología
    • Nefrología
    • Neurología
    • Medicina de urgencias y cuidados intensivos
    • Medicina nuclear
    • Oncología
    • Oftalmología
    • ORL
    • Ortopedia
    • Pediatría
    • Farmacología y toxicología
    • Medicina farmacéutica
    • Flebología
    • Medicina física y rehabilitación
    • Neumología
    • Prevención y asistencia sanitaria
    • Psiquiatría y psicoterapia
    • Radiología
    • Medicina forense
    • Reumatología
    • Medicina deportiva
    • Traumatología y cirugía traumatológica
    • Medicina tropical y de viajes
    • Urología
    • Odontología
  • CME y congresos
    • Formación CME
    • El Congreso informa
    • Calendario del Congreso
  • Práctica
    • Noctimed
    • Gestión de la práctica
    • Empleo
    • Entrevistas
  • Conectarse
  • Regístrese en
  • Mi cuenta
  • Póngase en contacto con
  • Publicaciones
  • Póngase en contacto con
  • Deutsch
  • English
  • Français
  • Italiano
  • Português
  • Español
Suscribir
Medizinonline Medizinonline
Medizinonline Medizinonline
  • Noticias
    • Noticias
    • Mercado y medicina
  • Patienten
    • Krankheitsbilder
    • Diagnostik
    • Therapie
  • Contenido para socios
    • Dermatología
    • Diabetes
      • Club Dia-Mes – Diabetes tipo 2
      • Diabetes en movimiento
      • Diabetes Podcasts
    • Gastroenterología
      • La EII importa
    • Oncología
      • Oncología suiza en movimiento
    • Ortopedia
      • Osteoporosis en movimiento
    • Phytotherapie
    • Reumatología
  • Departamentos
    • Fachbereiche 1-13
      • Alergología e inmunología clínica
      • Medicina Interna General
      • Anestesiología
      • Angiología
      • Cirugía
      • Dermatología y venereología
      • Endocrinología y diabetología
      • Nutrición
      • Gastroenterología y hepatología
      • Genética
      • Geriatría
      • Ginecología
      • Hematología
    • Fachbereiche 14-26
      • Infectología
      • Cardiología
      • Nefrología
      • Neurología
      • Medicina de urgencias y cuidados intensivos
      • Medicina nuclear
      • Oncología
      • Oftalmología
      • ORL
      • Ortopedia
      • Pediatría
      • Farmacología y toxicología
      • Medicina farmacéutica
    • Fachbereiche 26-38
      • Flebología
      • Medicina física y rehabilitación
      • Fitoterapia
      • Neumología
      • Prevención y asistencia sanitaria
      • Psiquiatría y psicoterapia
      • Radiología
      • Medicina forense
      • Reumatología
      • Medicina deportiva
      • Traumatología y cirugía traumatológica
      • Medicina tropical y de viajes
      • Urología
      • Odontología
  • CME y congresos
    • Formación CME
    • El Congreso informa
    • Calendario del Congreso
  • Práctica
    • Noctimed
    • Gestión de la práctica
    • Empleo
    • Entrevistas
Login

Sie haben noch keinen Account? Registrieren

  • Informe de un caso: Pitiriasis liquenoide

Forma especial de la enfermedad de Mucha-Habermann en la infancia

    • Casos
    • Dermatología y venereología
    • Infectología
    • Pediatría
    • RX
  • 4 minuto leer

La variante aguda de la pitiriasis liquenoide se conoce como pitiriasis liquenoide et varioliformis acuta (PLEVA) alias enfermedad de Mucha-Habermann. Se forman pequeñas pápulas con manchas, sobre todo en la zona del tronco, que en algunos casos van acompañadas de picor o quemazón. La enfermedad febril ulceronecrótica de Mucha-Habermann (FUMHD, por sus siglas en inglés), una forma especial rara y grave de PLEVA, se manifiesta con fiebre alta acompañante y es potencialmente mortal.

Un niño de 13 años presentó una erupción maculopapular que se extendió rápidamente a las palmas de las manos y las plantas de los pies, así como picor, hinchazón y dolor en los labios y una conjuntivitis que había aparecido el día anterior a la hospitalización [1]. Sufría dolores de cabeza, mareos, fatiga, un episodio de vómitos, escalofríos y fiebre constante de hasta 40,5°C. Los síntomas habían comenzado 2 días antes de la hospitalización. Su historial médico no presentaba observaciones, aparte de un asma leve, que se trató con esteroides inhalados, y una epifisiodesis de la tibia y el muslo derechos. La familia había estado de vacaciones en Malta las semanas anteriores. Allí la paciente sufrió una diarrea leve. Los hallazgos de laboratorio mostraron una leucopenia pronunciada con un aumento de la proporción de granulocitos inmaduros/total, una trombocitopenia leve, un aumento de la proteína C reactiva, la procalcitonina y la ferritina.

Explicaciones del procedimiento terapéutico
Los hallazgos hematológicos iniciales con leucopenia y trombocitopenia documentados en este informe de caso ampliaron los posibles diagnósticos diferenciales de la enfermedad de Mucha-Habermann febril ulceronecrótica (EMHUF) para incluir cuadros clínicos hematológicos como la leucemia o la linfohistiocitosis hemofagocítica (HLH) e influyeron en las consideraciones terapéuticas. En el curso inicial de la enfermedad, el tratamiento fue empírico, incluyendo antibióticos sistémicos de amplio espectro, antifúngicos y tratamiento antiviral. Se excluyeron las enfermedades hematológicas como la leucemia o el HLH, que habrían requerido un tratamiento sistémico con esteroides. Bajo la impresión de un posible síndrome de Kawasaki o de una infección no identificada, se inició un tratamiento con inmunoglobulinas [2]. El síndrome inflamatorio multisistémico asociado al SRAS-CoV-2 en niños se descartó mediante PCR y serología repetidas, así como el análisis de una biopsia cutánea [3].
A juicio de los autores, el tratamiento empírico para una infección por micoplasma que pudo haber desencadenado la FUMHD fue retrospectivamente apropiado [4]. En el curso posterior de la enfermedad, se evitó activamente la inmunosupresión sistémica, ya que se temían complicaciones infecciosas secundarias a través de la barrera cutánea abierta. Como se ha señalado en la bibliografía anterior sobre la FUMHD, es probable que el pronóstico dependa de un diagnóstico histológico a tiempo y de un tratamiento estándar adecuado, incluidos los cuidados intensivos en caso necesario.

Cambios cutáneos en el curso

Los hallazgos dermatológicos iniciales parecían un exantema vírico [1]. Al tercer día, el cuadro clínico con conjuntivitis, afectación de las mucosas y exantema mostraba similitudes con el síndrome de Kawasaki. El día 6, un aspecto ulceronecrótico que afectaba a las regiones palmar y plantar era la característica predominante de los cambios dermatológicos. La cicatrización de las membranas mucosas comenzó el 8º día y la curación de la piel del cuerpo comenzó el 9º día con desprendimiento de las lesiones epidérmicas ulceronecróticas.

Las investigaciones de diagnóstico diferencial revelaron lo siguiente:

  • La osteomielitis tras la epifisiodesis pudo excluirse radiológicamente
  • La serología fue negativa para la infección aguda por Treponema pallidum, virus del herpes simple tipo 1 y 2, Toxoplasma gondii, VIH, hepatitis A/B/C/D/E y SARS-CoV-2
  • Las pruebas PCR fueron negativas para adenovirus, VEB, citomegalovirus, herpesvirus humano tipo 6, parvovirus B19, bocavirus, metapneumovirus humano, gripe A/B, sarampión, parainfluenza, rinovirus/enterovirus, VHS 1/2, varicela y SARS-CoV-2.

Por otro lado, se halló un resultado positivo para los anticuerpos contra Mycoplasma pneumoniae (tipo IgM) en el suero, lo que indica una infección reciente.

La terapia empírica tuvo éxito

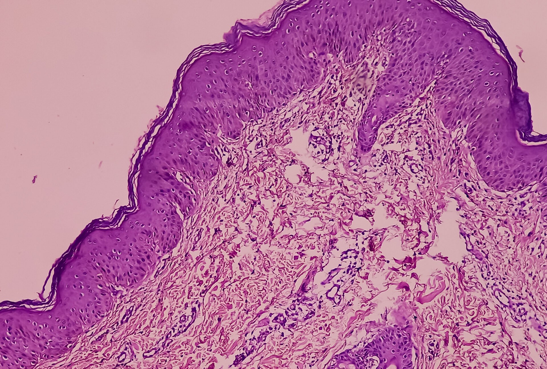
La paciente fue trasladada a la unidad de cuidados intensivos pediátricos el sexto día de la enfermedad debido a la afectación sistémica con cambios cutáneos rápidamente progresivos, acompañados de taquicardia, oliguria y necesidades adicionales de oxígeno. El aspirado de médula ósea no mostró malignidad y fue negativo para Leishmania. La biopsia de piel tomada el día 6 mostró signos de FUMHD con dermatitis de interfase y predominio de células T citotóxicas CD8+. La PCR para el SARS-CoV-2 fue negativa en la biopsia cutánea. El tratamiento empírico consistió en ceftazidima, vancomicina, doxiciclina, anfotericina B liposomal e inmunoglobulinas intravenosas (2 g acumulativos por kg de peso corporal los días 6 y 7). El paciente recibió oxígeno y diuréticos adicionales y se le mantuvo en respiración espontánea. El tratamiento tópico de la piel consistió principalmente en preparados tópicos que contenían urea y triclosán. Con estas medidas, el estado de la paciente mejoró continuamente sin tratamiento inmunosupresor sistémico. Fue trasladado a la sala normal el día 11 y dado de alta el día 18. En ese momento, su principal queja seguía siendo la discapacidad visual debida a la afectación corneal. Retrospectivamente, el estado de la paciente se interpretó como FUMHD, posiblemente desencadenada por una infección por micoplasma. Seis meses después del episodio de FUMHD, la paciente se ha recuperado totalmente sin secuelas relevantes ni reaparición de síntomas dermatológicos.

Literatura:

  1. Blohm ME, et al: Enfermedad de Mucha-Habermann: informe de un caso pediátrico y propuesta de una puntuación de riesgo. Revista Internacional de Dermatología 2022; 61(Issue4): 401-409.
  2. Weins AB, et al: Enfermedad de Mucha-Habermann bajo el cuadro del síndrome de Kawasaki. J Dtsch Dermatol Ges 2020; 18: 140-142.
  3. Schneider DT, Puetz-Dolderer J, Berrang J. Síndrome inflamatorio multisistémico pediátrico asociado a la infección por SARS-CoV-2. Dtsch Arztebl Int 2020; 117: 431.
  4. Terraneo L, et al: Erupciones inusuales asociadas a infecciones respiratorias por micoplasma pneumoniae: revisión de la literatura. Dermatología 2015; 231: 152-157.

PRÁCTICA DERMATOLÓGICA 2023; 33(6): 21

Autoren
  • Mirjam Peter, M.Sc.
Publikation
  • DERMATOLOGIE PRAXIS
Temas relacionados
  • Enfermedad de Mucha-Habermann
  • FUMHD
  • Pitiriasis liquenoide
  • Pitiriasis liquenoide et varioliformis acuta
  • PLEVA
Artículo anterior
  • Gestión de la sangre del paciente

Aclarar y tratar la anemia y la carencia de hierro en el preoperatorio

  • Gestión de la práctica
  • Hematología
  • Medicina Interna General
  • Prevención y asistencia sanitaria
  • RX
Ver Publicación
Siguiente artículo
  • Dolor facial neuropático

Dolor intenso similar a un ataque – ¿neuralgia del trigémino?

  • Formación continua
  • Neurología
  • Odontología
  • ORL
  • RX
Ver Publicación
También podría interesarte
Ver Publicación
  • 9 min
  • Cirugía plástica y microcirugía reconstructiva para la DFS

Preservación funcional de las extremidades entre el control de infecciones, la medicina vascular y el resurfacing

    • Angiología
    • Cirugía
    • Endocrinología y diabetología
    • Formación CME
    • Geriatría
    • Medicina física y rehabilitación
    • Medicina Interna General
    • RX
Ver Publicación
  • 17 min
  • Síndrome adrenogenital

Atención clínica desde el nacimiento hasta la edad adulta

    • Endocrinología y diabetología
    • Estudios
    • Formación CME
    • Nefrología
    • Pediatría
    • RX
Ver Publicación
  • 17 min
  • Nuevas aprobaciones, datos de estudios actuales y desarrollo de ADC

Conjugados anticuerpo-fármaco en oncología ginecológica

    • Estudios
    • Formación continua
    • Ginecología
    • Oncología
    • RX
Ver Publicación
  • 6 min
  • Del síntoma al diagnóstico

Neumología – Covid-19: una revisión

    • Casos
    • Formación continua
    • Infectología
    • Neumología
    • Prevención y asistencia sanitaria
    • Radiología
    • RX
Ver Publicación
  • 7 min
  • Aneurismas aórticos abdominales en atención primaria

Cribado y profilaxis estratificados por riesgo

    • Angiología
    • Cirugía
    • El Congreso informa
    • Estudios
    • Prevención y asistencia sanitaria
    • Radiología
    • RX
Ver Publicación
  • 11 min
  • Cardiología

Mínimamente invasiva: el triunfo silencioso de la cirugía cardíaca moderna

    • Cardiología
    • Cirugía
    • Estudios
    • Formación CME
    • RX
Ver Publicación
  • 7 min
  • Trastornos neurocognitivos relacionados con la edad

Efectos neuroprotectores del extracto de Ginkgo biloba

    • Estudios
    • Fitoterapia
    • Formación continua
    • Geriatría
    • Medicina farmacéutica
    • Neurología
    • RX
Ver Publicación
  • 7 min
    • Endocrinología y diabetología
    • Estudios
    • Formación continua
    • Neumología
    • Psiquiatría y psicoterapia
    • RX

Cómo el origen y el lugar de residencia favorecen la diabetes asociada a la FQ

  • La EII importa

    Zum Thema
Cursos de formación CME
  • 1
    Mínimamente invasiva: el triunfo silencioso de la cirugía cardíaca moderna
  • 2
    Preservación funcional de las extremidades entre el control de infecciones, la medicina vascular y el resurfacing
  • 3
    Prevención del VPH, innovación en el cribado y biopsia del ganglio linfático centinela
  • 4
    Atención clínica desde el nacimiento hasta la edad adulta
  • 5
    Equipos multidisciplinares en oncología

Boletín

Suscríbase y manténgase al día

Suscríbase
Medizinonline Medizinonline
  • Póngase en contacto con
  • Condiciones generales
  • Pie de imprenta

Ingresa las palabras de la búsqueda y presiona Enter.