Medizinonline Medizinonline
  • Noticias
    • Noticias
    • Mercado y medicina
  • Pacientes
    • Patrones de enfermedad
    • Diagnóstico
    • Terapia
  • Contenido para socios
    • Diabetes
      • Club Dia-Mes – Diabetes tipo 2
      • Diabetes en movimiento
      • Diabetes Podcasts
    • Gastroenterología
      • La EII importa
    • Oncología
      • Oncología suiza en movimiento
    • Ortopedia
      • Osteoporosis en movimiento
  • Departamentos
    • Alergología e inmunología clínica
    • Medicina Interna General
    • Anestesiología
    • Angiología
    • Cirugía
    • Dermatología y venereología
    • Endocrinología y diabetología
    • Nutrición
    • Gastroenterología y hepatología
    • Genética
    • Geriatría
    • Ginecología
    • Hematología
    • Infectología
    • Cardiología
    • Nefrología
    • Neurología
    • Medicina de urgencias y cuidados intensivos
    • Medicina nuclear
    • Oncología
    • Oftalmología
    • ORL
    • Ortopedia
    • Pediatría
    • Farmacología y toxicología
    • Medicina farmacéutica
    • Flebología
    • Medicina física y rehabilitación
    • Neumología
    • Prevención y asistencia sanitaria
    • Psiquiatría y psicoterapia
    • Radiología
    • Medicina forense
    • Reumatología
    • Medicina deportiva
    • Traumatología y cirugía traumatológica
    • Medicina tropical y de viajes
    • Urología
    • Odontología
  • CME y congresos
    • Formación CME
    • El Congreso informa
    • Calendario del Congreso
  • Práctica
    • Noctimed
    • Gestión de la práctica
    • Empleo
    • Entrevistas
  • Conectarse
  • Regístrese en
  • Mi cuenta
  • Póngase en contacto con
  • Publicaciones
  • Póngase en contacto con
  • Deutsch
  • English
  • Français
  • Italiano
  • Português
  • Español
Suscribir
Medizinonline Medizinonline
Medizinonline Medizinonline
  • Noticias
    • Noticias
    • Mercado y medicina
  • Patienten
    • Krankheitsbilder
    • Diagnostik
    • Therapie
  • Contenido para socios
    • Diabetes
      • Club Dia-Mes – Diabetes tipo 2
      • Diabetes en movimiento
      • Diabetes Podcasts
    • Gastroenterología
      • La EII importa
    • Oncología
      • Oncología suiza en movimiento
    • Ortopedia
      • Osteoporosis en movimiento
    • Phytotherapie
    • Reumatología
  • Departamentos
    • Fachbereiche 1-13
      • Alergología e inmunología clínica
      • Medicina Interna General
      • Anestesiología
      • Angiología
      • Cirugía
      • Dermatología y venereología
      • Endocrinología y diabetología
      • Nutrición
      • Gastroenterología y hepatología
      • Genética
      • Geriatría
      • Ginecología
      • Hematología
    • Fachbereiche 14-26
      • Infectología
      • Cardiología
      • Nefrología
      • Neurología
      • Medicina de urgencias y cuidados intensivos
      • Medicina nuclear
      • Oncología
      • Oftalmología
      • ORL
      • Ortopedia
      • Pediatría
      • Farmacología y toxicología
      • Medicina farmacéutica
    • Fachbereiche 26-38
      • Flebología
      • Medicina física y rehabilitación
      • Fitoterapia
      • Neumología
      • Prevención y asistencia sanitaria
      • Psiquiatría y psicoterapia
      • Radiología
      • Medicina forense
      • Reumatología
      • Medicina deportiva
      • Traumatología y cirugía traumatológica
      • Medicina tropical y de viajes
      • Urología
      • Odontología
  • CME y congresos
    • Formación CME
    • El Congreso informa
    • Calendario del Congreso
  • Práctica
    • Noctimed
    • Gestión de la práctica
    • Empleo
    • Entrevistas
Login

Sie haben noch keinen Account? Registrieren

Publicaciones por etiqueta

Lesión cerebral

1 Publicación
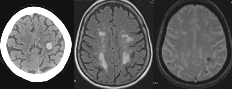
  • This content is machine translated Microangiopatía cerebral y demencia vascular

Pequeñas embarcaciones de gran importancia

La demencia vascular (DV) es la segunda causa más común de demencia después de la demencia de Alzheimer y, por tanto, la forma no neurodegenerativa más común de demencia. No…
  • La EII importa

    Zum Thema
Cursos de formación CME
  • 1
    ¿Los aminoácidos especiales conducen al éxito?
  • 2
    Complicaciones de la herida quirúrgica
  • 3
    ¿Los aminoácidos especiales conducen al éxito?
  • 4
    Situación actual del PAT
  • 5
    Mínimamente invasiva: el triunfo silencioso de la cirugía cardíaca moderna

Boletín

Suscríbase y manténgase al día

Suscríbase
Medizinonline Medizinonline
  • Póngase en contacto con
  • Condiciones generales
  • Pie de imprenta

Ingresa las palabras de la búsqueda y presiona Enter.