A paniculite pode ser classificada como lobular ou septal, consoante o principal local de inflamação na gordura. No caso da paniculite mesentérica, a ressonância magnética é o método de eleição para visualizar as manifestações inflamatórias. A tomografia computorizada e a ecografia também podem ser utilizadas para visualizar alterações patológicas no tecido adiposo.
A paniculite é uma inflamação localizada do tecido adiposo subcutâneo e pode ter muitas causas diferentes. Consoante a causa, a sua duração pode ser mais ou menos longa. Por exemplo, uma exposição severa ao frio pode desencadear uma paniculite, que se resolve após apenas algumas semanas. No Quadro 1 são apresentadas outras formas de progressão.
Dependendo da localização das células inflamatórias e da presença de vasculite, a paniculite é classificada histologicamente em diferentes subtipos (Tabela 2).
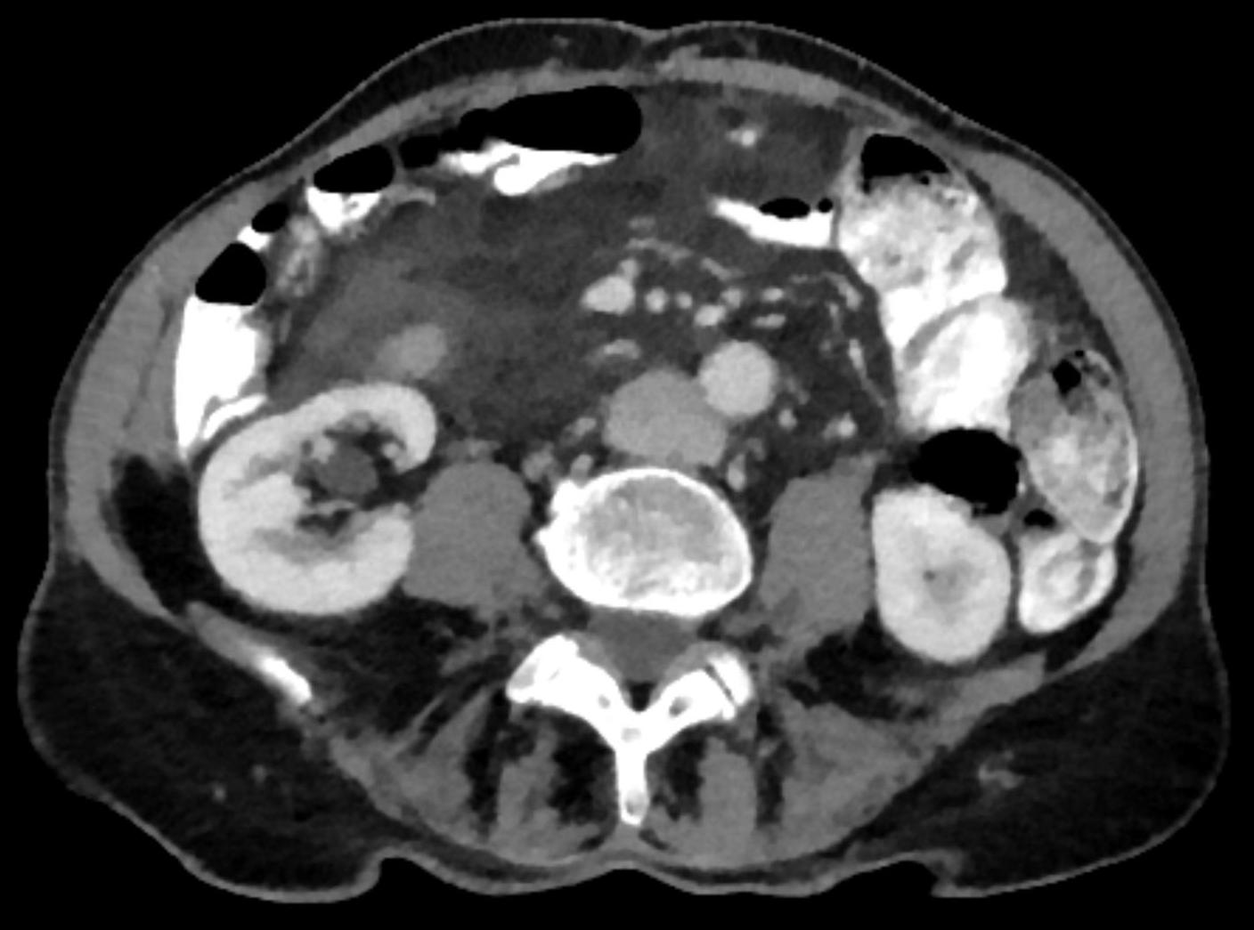
A inflamação do tecido adiposo intra-abdominal também pode ocorrer como paniculite mesentérica (PM). Trata-se de uma doença inflamatória crónica rara (ou esclerosante) do tecido adiposo mesentérico do intestino delgado e grosso [2].
A etiologia da paniculite mesentérica é desconhecida. É mais comum em doentes com cancro, após traumatismo abdominal, cirurgia abdominal prévia e obesidade [1]. A Tabela 3 apresenta os dois principais grupos de PM e as suas caraterísticas.
A prevalência da MP está estimada em cerca de 1%. Ocorre em todos os grupos etários, mas é mais comum nos homens na faixa etária 6. e 7ª década. A etiologia ainda não está totalmente esclarecida, mas é classificada como uma doença esclerosante associada à IgG4 (tal como a tiroidite de Riedel). Afecta a raiz mesentérica do intestino delgado em 90% dos casos. O mesocólon ou o mesoapêndice, por exemplo, são afectados com menos frequência.
Outros factores patogénicos podem ser encontrados na Visão Geral 1.
As radiografias não têm qualquer significado no diagnóstico da paniculite.
Os exames de tomografia computorizada permitem que as indurações de tecido adiposo fibroso inflamatório sejam bem delineadas [2]. Mesmo nos exames nativos, a densificação do tecido conjuntivo pode ser detectada no tecido adiposo, que apresenta um aumento de densidade nos exames com contraste. O contraste intravenoso é necessário para a deteção da síndrome de congestão venosa.
Devido ao seu elevado contraste com os tecidos moles e à sua capacidade de obtenção de imagens multiplanares primárias, os exames de RMN são o método de eleição para a visualização de doenças inflamatórias do tecido adiposo, especialmente com sequências poupadoras de gordura com contraste.
A ecografia também pode mostrar alterações patológicas no tecido adiposo.
Estudo de caso
O estudo de caso demonstra o diagnóstico por ressonância magnética num doente de 38 anos, três meses após a vasectomia. Cerca de duas semanas após o procedimento, surgiu dor na zona perineal, acompanhada de inchaço dos tecidos moles. A ecografia externa descreveu uma formação cistoide no tecido adiposo subcutâneo perineal. Os valores laboratoriais eram inespecíficos. Foi pedida uma ressonância magnética para excluir um abcesso ou flegmão (Fig. 1A a E). Foi possível excluir uma inflamação por fusão. Foi encontrada uma reação inflamatória difusa consistente com paniculite no tecido adiposo subcutâneo. Para além disso, foram encontrados numerosos vasos sanguíneos dilatados na pélvis e no escroto. Assim, estava também presente uma síndrome de congestão venosa, análoga à síndrome de congestão pélvica, que já foi apresentada e se caracteriza pela dilatação das veias gonadais e pela presença de varizes parauterinas, ocasionalmente também por varicose da vulva e insuficiência venosa da extremidade inferior [4].
Mensagens para levar para casa
- A paniculite é uma inflamação localizada do tecido adiposo subcutâneo.
- Pode ocorrer no tecido adiposo subcutâneo e também intra-abdominalmente.
- A duração da doença é variável, tal como os sintomas.
- A paniculite ocorre em todos os grupos etários, com predominância nos homens na 6. e 7ª década.
- A ressonância magnética é o método de eleição para detetar a paniculite.
Literatura:
- Buragina G, Biasina AM, Carrafiello G: Clinical and radiological features of mesenteric panniculitis: a critical overview. Acta Biomed 2019 Dec 23; 90(4): 411–422.
- Decker J, et al.: Mesenteriale Pannikulitis, https://flexikon.doccheck.com,
(último acesso em 11.11.2024). - Merz S, et al.: Pannikulitis: https://flexikon.doccheck.com, (último acesso em 11.11.2024)
- Spüntrup E, Bredel B, Steffen MS, Petzold T: Pelvines venöses Kongestionssyndrom: MR-Diagnostik und interventionelle Behandlungsmöglichkeiten. Geburtshilfe Frauenheilkd 2022; 82(03): 269–275.
- Wick MR: Panniculitis: A summary. Semin Diagn Pathol 2017; 34(3): 261–272.
HAUSARZT PRAXIS 2024; 19(12): 42–43
Imagem da capa: Paniculite mesenterial (suspeita); © hellerhoff, wikimedia




