Medizinonline Medizinonline
  • Aktuelles
    • News
    • Markt & Medizin
  • Patienten
    • Krankheitsbilder
    • Diagnostik
    • Therapie
    • Services
  • Partner-Content
    • Adipositas
      • SURMOUNT-5 Video-Serie
    • Diabetes
      • Dia-Month Club – Typ 2 Diabetes
      • Diabetes in Motion
      • Diabetes Podcasts
    • Gastroenterologie
      • IBD matters
    • Onkologie
      • Swiss Oncology in Motion
      • MonarchE 7-Year Data
    • Ophthalmologie
      • Unser Fokus: Augengesundheit evidenzbasiert voranbringen
    • Orthopädie
      • Osteoporose in motion
    • Phytotherapie
      • Podcast-Reihe
    • Pneumologie
      • RSV
    • Rheumatologie
      • Rheumatology News
  • Fachbereiche
    • Allergologie und klinische Immunologie
    • Allgemeine und Innere Medizin
    • Anästhesiologie
    • Angiologie
    • Chirurgie
    • Dermatologie und Venerologie
    • Endokrinologie und Diabetologie
    • Ernährung
    • Gastroenterologie und Hepatologie
    • Genetik
    • Geriatrie
    • Gynäkologie
    • Hämatologie
    • Infektiologie
    • Kardiologie
    • Nephrologie
    • Neurologie
    • Notfall- und Intensivmedizin
    • Nuklearmedizin
    • Onkologie
    • Ophthalmologie
    • ORL
    • Orthopädie
    • Pädiatrie
    • Pharmakologie und Toxikologie
    • Pharmazeutische Medizin
    • Phlebologie
    • Physikalische Medizin und Rehabilitation
    • Pneumologie
    • Prävention und Gesundheitswesen
    • Psychiatrie und Psychotherapie
    • Radiologie
    • Rechtsmedizin
    • Rheumatologie
    • Sportmedizin
    • Traumatologie und Unfallchirurgie
    • Tropen- und Reisemedizin
    • Urologie
    • Zahnmedizin
  • CME & Kongresse
    • CME-Fortbildung
    • SWISS ONCOLOGY in MOTION
    • SWISS MEDICINE in MOTION
    • Kongressberichte
    • Kongresskalender
  • Praxis
    • Noctimed
    • Praxismanagement
    • Jobs
    • Interviews
  • Kontakt
  • Publikationen
  • Login
  • Register
  • Publikationen
  • Kontakt
  • Deutsch
  • English
  • Français
  • Italiano
  • Português
  • Español
Abonnieren
Medizinonline Medizinonline
Medizinonline Medizinonline
  • Aktuelles
    • News
    • Markt & Medizin
  • Patienten
    • Krankheitsbilder
    • Diagnostik
    • Therapie
    • Services
  • Partner-Content
    • Adipositas
      • SURMOUNT-5 Video-Serie
    • Diabetes
      • Dia-Month Club – Typ 2 Diabetes
      • Diabetes in Motion
      • Diabetes Podcasts
    • Gastroenterologie
      • IBD matters
    • Onkologie
      • Swiss Oncology in Motion
      • MonarchE 7-Year Data
    • Ophthalmologie
      • Unser Fokus: Augengesundheit evidenzbasiert voranbringen
    • Orthopädie
      • Osteoporose in motion
    • Phytotherapie
      • Podcast-Reihe
    • Pneumologie
      • RSV
    • Rheumatologie
      • Rheumatology News
  • Fachbereiche
    • Fachbereiche 1-13
      • Allergologie und klinische Immunologie
      • Allgemeine und Innere Medizin
      • Anästhesiologie
      • Angiologie
      • Chirurgie
      • Dermatologie und Venerologie
      • Endokrinologie und Diabetologie
      • Ernährung
      • Gastroenterologie und Hepatologie
      • Genetik
      • Geriatrie
      • Gynäkologie
      • Hämatologie
    • Fachbereiche 14-26
      • Infektiologie
      • Kardiologie
      • Nephrologie
      • Neurologie
      • Notfall- und Intensivmedizin
      • Nuklearmedizin
      • Onkologie
      • Ophthalmologie
      • ORL
      • Orthopädie
      • Pädiatrie
      • Pharmakologie und Toxikologie
      • Pharmazeutische Medizin
    • Fachbereiche 26-38
      • Phlebologie
      • Physikalische Medizin und Rehabilitation
      • Phytotherapie
      • Pneumologie
      • Prävention und Gesundheitswesen
      • Psychiatrie und Psychotherapie
      • Radiologie
      • Rechtsmedizin
      • Rheumatologie
      • Sportmedizin
      • Traumatologie und Unfallchirurgie
      • Tropen- und Reisemedizin
      • Urologie
      • Zahnmedizin
  • CME & Kongresse
    • CME-Fortbildung
    • SWISS MEDICINE in MOTION
    • SWISS ONCOLOGY in MOTION
    • Kongressberichte
    • Kongresskalender
  • Praxis
    • Noctimed
    • Praxismanagement
    • Jobs
    • Interviews
Login

Sie haben noch keinen Account? Registrieren

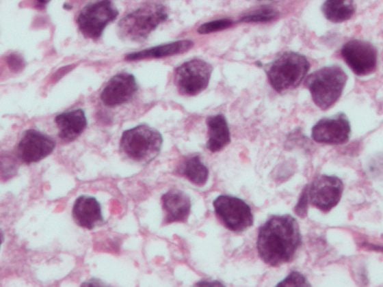
basalzellkarzinom_weisserhautkrebs
  • Nicht-melanozytäre Hauttumoren

Basaliome leitlinienkonform klassifizieren und patientenadaptiert behandeln

    • Chirurgie
    • Dermatologie und Venerologie
    • Kongressberichte
    • Onkologie
    • Prävention und Gesundheitswesen
    • Rx
  • 6 minute read

Die Inzidenzzahlen von weissem Hautkrebs sind steigend und eine rechtzeitige Diagnose erhöht die Chancen auf eine erfolgreiche Therapie. In den aktuellen s2k-Leitlinien werden Kriterien für die Einstufung von Tumoren mit hohem vs. niedrigem Rezidivrisiko und ein darauf basierender Therapiealgorithmus definiert.

Dieser Inhalt ist nur für Benutzer der Gruppe: Medizinische Fachperson zugänglich
Jetzt beitreten
» Hier einloggen
Autoren
  • Mirjam Peter, M.Sc.
Publikation
  • DERMATOLOGIE PRAXIS
Related Topics
  • Basaliom
  • Basalzellkarzinom
  • weisser Hautkrebs
Voriger Artikel
darm_jicw3qi
  • Chronisch-entzündliche Darmerkrankungen (CED)

Moderne «State-of-the-Art» Pharmakotherapie – ein Update

  • Fortbildung mit Partner
  • Gastroenterologie und Hepatologie
  • Partner-Content
  • Rx
Weiterlesen
Nächster Artikel
hodenkrebs_seminoma
  • Keimzelltumoren des Hodens

Management früher Stadien: State of the Art

  • Kongressberichte
  • Onkologie
  • Rx
  • Urologie
Weiterlesen
Dir könnte auch gefallen
Weiterlesen
  • 6 min
  • Multimorbidität und Funktionsfähigkeit im höheren Lebensalter

Gesundheitszustand individuell abklären und Risiken vermindern

    • Rx
    • Allgemeine und Innere Medizin
    • Geriatrie
    • Kongressberichte
    • Neurologie
    • Orthopädie
    • Physikalische Medizin und Rehabilitation
    • Prävention und Gesundheitswesen
    • Rheumatologie
Weiterlesen
  • 6 min
  • Zeckensaison: Gefahr durch Frühsommer-Meningoenzephalitis

FSME-Impfung für Erwachsene und Kinder ab 3 Jahren empfohlen

    • Rx
    • Fortbildung
    • Infektiologie
    • Neurologie
    • Prävention und Gesundheitswesen
    • Studien
Weiterlesen
  • 12 min
  • Neue WHO-Leitlinie, aktualisierte Stimulationsprotokolle, PGT-A im Fokus

Fertilität und Reproduktionsmedizin 2026 

    • Rx
    • Fortbildung
    • Gynäkologie
    • Studien
Weiterlesen
  • 11 min
  • Wundbehandlung

Chirurgische Wundkomplikationen

    • Rx
    • Chirurgie
    • CME-Fortbildung
    • Dermatologie und Venerologie
    • Endokrinologie und Diabetologie
    • Geriatrie
    • Physikalische Medizin und Rehabilitation
Weiterlesen
  • 7 min
  • Proteine in der Wundheilung

Führen spezielle Aminosäuren zum Erfolg?

    • Rx
    • CME-Fortbildung
    • Dermatologie und Venerologie
    • Endokrinologie und Diabetologie
    • Ernährung
    • Studien
Weiterlesen
  • 7 min
  • Proteine in der Wundheilung

Führen spezielle Aminosäuren zum Erfolg?

    • Rx
    • CME-Fortbildung
    • Dermatologie und Venerologie
    • Endokrinologie und Diabetologie
    • Ernährung
    • Studien
Weiterlesen
  • 9 min
  • Psychedelika-assistierte Therapie

Aktueller Stand der PAT

    • Rx
    • Allgemeine und Innere Medizin
    • CME-Fortbildung
    • Pharmakologie und Toxikologie
    • Psychiatrie und Psychotherapie
    • Studien
Weiterlesen
  • 5 min
  • Hepatitis-B-Prophylaxe

Impfschutz für Gesundheitspersonal mit Patientenkontakt – ein Update 

    • Rx
    • Allgemeine und Innere Medizin
    • Infektiologie
    • Kongressberichte
    • Prävention und Gesundheitswesen
  • IBD matters

    Zum Thema
  • RSV

    Zum Thema
Top CME-Fortbildungen
  • 1
    Führen spezielle Aminosäuren zum Erfolg?
  • 2
    Chirurgische Wundkomplikationen
  • 3
    Führen spezielle Aminosäuren zum Erfolg?
  • 4
    Aktueller Stand der PAT
  • 5
    Funktioneller Extremitätenerhalt zwischen Infektkontrolle, Gefässmedizin und Resurfacing 

Newsletter

Melden Sie sich an und bleiben Sie auf dem Laufenden

Abonnieren
Medizinonline Medizinonline
  • Kontakt
  • AGB
  • Impressum
  • Datenschutzerklärung

Gib dein Suchwort ein und drücke Enter.